2023: Grüße aus meinem zweiten Leben

2023
Grüße aus meinem zweiten Leben

Nun bin ich im Jahr sechs nach der Hirntumor-Entfernung.

Vieles ist gut geworden, manches vielleicht auch nicht. Das Leben hat im Laufe der Zeit neue Wendungen bekommen. Wohin es führen wird, kann man nicht absehen. Aber auf jeden Fall war der "Einschnitt" Grund für eine Neuausrichtung, Ausmisten auf allen Ebenen und nun werde ich sehen, wie es weiter gehen wird.

Hier erzähle ich mal die Geschichte von der Diagnose des Hirntumors, seiner erfolgreichen Behandlung und meine neuen Sicht auf die Welt nach dem Durchlaufen einer langen Zeit der Rehabilitation.

Die Fortsetzung der Geschichte ab 2024 kann man hier lesen.

2013-2016: Ein Leben kommt vom Weg ab

2013-2016
Ein Leben kommt vom Weg ab

Die Pflicht habe ich mit meinem ersten Leben erledigt, genug gemacht:

  • studiert (Geophysik)
  • Vollzeit gearbeitet (fast 30 Jahre im Bereich der Informatik)
  • gekämpft für die Rechte der Mädchen und Frauen, für eine bessere Welt und als Betriebsrätin...
  • einen Sohn beim Erwachsenwerden geholfen (als Alleinerziehende)
  • meinen Vater durch seinen letzten Lebensabschnitt (2012) bis zum letzten Atemzug begleitet
  • einen Haushalt mit Haus und kleinem Garten organisiert.
  • eine späte Liebe gefunden und eine Ehe geführt

Manchmal war es auch etwas viel zu viele Bälle, die gleichzeitig in der Luft sein mussten, da ist auch schon mal etwas in den Dreck gefallen.

2013 kam es dann etwas dicke. Mein Arbeitgeber wollte mich nicht mehr und hat mich aus dem Job "rausgekauft" (viel Geld ist geflossen, aber als ehemalige Betriebsrätin konnte ich mich für meine Rechte einsetzten). Trotzdem war ich sehr getroffen. Aber weil ich ein Steh-auf-Mädchen bin, habe ich ein Weiterbildungsstudium zur Entwicklerin "Digitale Medien" und mich selbstständig gemacht. Dabei ist eine ganz kleine Alleinunternehmerschaft entstanden.

Aber das Leben wurde immer schwieriger. Obwohl die Umstände ganz gut waren, keine wirtschaftliche Not, Zeit und soziale Einbindung wollte sich keine Zufriedenheit einstellen. Und spätestens ab 2016 kamen dann auch noch gelegentlich körperliche Unregelmäßigkeiten dazu. Mal vom Fahrrad gefallen, mal auch von der Treppe in meinem Reihenhaus gestürzt. Mal ein Essen angebrannt.

Mein Mann fand meinen Zustand besorgniserregend. Er hat sich sehr dafür eingesetzt, dass die Ursache gefunden wird, hat mich zum Notarzt, Hausärztin, diverse Neurologie-Ambulanzen begleitet bis im Krankenhaus-Ost der Verdacht auf einen Hirntumor entstand, der dann in der Neurochirurgie Klinikum Bremen-Mitte bestätigt wurde.

Hätte ich in einem anderen Land oder in einer anderen Zeit gelebt, ohne bildgebende Verfahren wie MRT, wäre der Tumor nicht gefunden worden und vielleicht wäre ich dann nicht mehr Bewohnerin dieser Erde.

2017: Danke an alle, die mir geholfen haben und es immer noch tun!

2017
Danke an alle, die mir geholfen haben und es immer noch tun!

Bei einer Diagnose wie der meinen braucht es schon viel Glück und viele Menschen und Einrichtungen, die helfen, dass Heilung gelingen kann. Selbstverständlich ist das nicht. Ich denke, ich bin ein Beispiel für die Güte und Effizienz des Gesundheitssystems in Deutschland. Deshalb ist es weiter angemessen, Danke zu sagen!  

  • Der Neurochirurgie vom Klinikum Bremen-Mitte, dort wurde die 'Ursache" meines Problems gefunden und alles gemacht um es zu heilen. Dank dem Chirurgen, dem Ärzteteam, den vielen Helfern auf der Station und den vielen anderen Beteiligten (auch wenn Gesundheit Nord ständig in der Kritik ist, mir haben die Menschen, die dort tätig sind, ein zweites Leben ermöglicht).
  • Den Menschen in Friedehorst, die mir während der Reha 2017 gezeigt haben, wie man wieder auf die Beine kommen kann und dass mein Körper das Laufen und Schwimmen nicht verlernt hat.
  • Den Ärztinnen und Ärzten, die mir immer noch weiter helfen und das sicherlich noch eine Weile tun werden.

Dank auch an die Menschen, die mit mir Geduld haben und hinnehmen, dass ich nicht mehr ganz die "alte" bin. Meine Familie, meine Freunde, Bekannte und Nachbarn. Es ist gut, nicht allein zu sein - und zu spüren, dass man auch mit Loch im Kopf noch gemocht, akzeptiert und angenommen wird und dass es Menschen gibt, die sich mit mir über die kleinen Erfolge freuen!

2017/2018: Ich freue mich, das alles so gut geklappt hat

2017/2018
Ich freue mich, das alles so gut geklappt hat

Wir haben großes Glück in dieser Zeit in diesem Teil der Erde leben zu dürfen. Vielleicht gab es nie eine Zeit, in der eine solche Krankheit heilbar war und es gibt auch heute nicht viele Orte, in denen dies möglich und für jedermensch "bezahlbar" ist. Schön wäre, wenn auch alle anderen 7,6 Milliarden Menschen auf diesem Planeten solches Glück haben könnten. Daran sollte man weiter arbeiten!

Mein Bruder hat mir am Tag vor der OP erklärt, dass man, wenn man sowas übersteht, ein zweites Leben bekommt und dann muss man nur noch machen, was man will. Große Brüder haben immer Recht und so halte ich es jetzt. Die Pflicht habe ich mit Leben 1 erledigt, genug gemacht: Unter anderem habe ich genug gearbeitet in einem Beruf mit ordentlicher Bezahlung. Dadurch konnte ich mit Glück und Fleiß meine wirtschaftliche Lage gut entwickeln.  Und nun kann ich die Früchte ernten. Ich beziehe eine auskömmliche Rente, besitze ein kleines Reihenhaus, das ein gutes Zuhause ist. Und so habe ich das Glück, ohne Not am dem Projekt "Rehabilitation nach Hirntumor" zu werkeln.

Was ich in meinem ersten Leben nicht wusste ist, welch einen fantastischen Körper (inklusive Gehirn)  uns die Evolution über Milliarden  von Jahren entwickelt hat. Wenn ich auf meiner Joggingrunde über Stock und Stein durch das Gelände laufe und nicht falle, kann ich doch nur staunen. Lauffähige Roboter, die die Menschen inzwischen auch bauen können, sind dagegen eher plump – und ich bin doch erst kurze Zeit Läuferin. Und wenn ich meine kleinen Programmierversuche mit dem vergleiche was mein Körper so den ganzen Tag alleine ohne Zutuns meines Bewusstseins so erledigt, ändert sich mein altes Wertesystem.  

Ich meine, wir Menschen, insbesondere in der westlichen Welt, neigen dazu unsere kleine Rationalität über zu bewerten. Klar unsere Ingenieurkunst und unsere Wirtschaftssysteme haben eine Lebenswelt geschaffen, die uns ein komfortables und angenehmes Leben möglich macht. Aber wir haben bei all den Entwicklungen auch Nebenwirkungen erzeugt, die uns hart treffen könnten.  Das ist nicht absichtlich passiert, aber unsere kleine rationale Denkfähigkeit kann die Komplexität der Welt  in Gänze nicht erfassen.  Und so können wir als Menschheit das Klima wohl beeinflussen, aber das Wetter können wir lokal nicht zuverlässig  prognostizieren.

Ich persönlich habe übersehen, dass ich einen Körper lebe, dessen Soft- und Hardware bereits vor ca. 300.000 Jahren in den Grundzügen erstellt war und Änderungen viele Jahrhunderte/Jahrtausende brauchen. Ich hatte im Leben eins kein gutes Gleichgewicht zwischen Ernährung und Bewegung gefunden und deshalb viel Übergewicht aufgesammelt. Dabei hat mich die Lebensmittelindustrie nach Kräften unterstützt.

Aus diesen Erkenntnissen habe ich die Konsequenz gezogen, einiges in Leben neu auszurichten und bin dabei es umzusetzen.  

2019/2020: Was wirklich zählt

2019/2020
Was wirklich zählt

Die Diagnose und ein glücklicher "Heilungsverlauf" haben mich zum Nachdenken gebracht und bewirkt, dass ich ganz absichtsvoll allerlei in meinem Leben verändert habe:

  • Ich habe mein Übergewicht von ca. 40 kg abgebaut (Sport, Ernährung).
  • Ich habe Spaß an der Bewegung entdeckt und mache nun reichlich Sport.
  • Ich ernähre mich vegan, zunächst nur mal als Selbstversuch aber inzwischen finde ich den Versuch erfolgreich und werde bei dieser Ernährung erstmal bleiben. Sie scheint gut für meinen Körper zu sein und wohl auch ganz gut für die Welt.
  • Ich bin davon überzeugt, dass ich im ersten Leben genug CO2"frei gelassen" habe und will das in Leben zwei nicht mehr tun. Deshalb bemühe ich mich um den Verzicht auf das Auto, will nicht mehr fliegen, und auch ansonsten schauen, was ich als Einzelperson in meiner Situation tun kann, um diese Welt nicht weiter zu zerstören. Greta Thunberg hat schon recht, man muss sofort anfangen.

Im ersten Leben  habe ich wegen meiner vielen Aufgaben sehr viel optimieren müssen, um alle Bälle in der Luft zu halten, genau wie viele andere Menschen es in diesem Land tun (müssen). So fahren die vielen großen, schweren Autos über die zu engen Straßen und die Insassen erledigen Dinge, die ich jetzt mit dem Fahrrad erledige (Einkaufen, etc.) was gut für die Welt und gut für meinen Körper ist. Meine Generation muss sich schon sagen lassen, auch mit Schuld zu sein an den Klimaproblemen. Mein Lieblingssänger Heinz Rudolf Kunze singt dazu "So ist es gewesen. Ich war hemmungsvoll dabei. " 

Aber wenn am Morgen die Sonne aufgeht, kann man es anders und vielleicht besser machen.

November 2020: Und dann ist doch mal nicht alles gut!

November 2020
Und dann ist doch mal nicht alles gut!

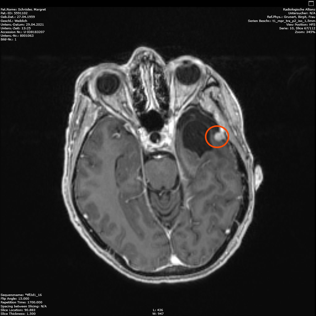
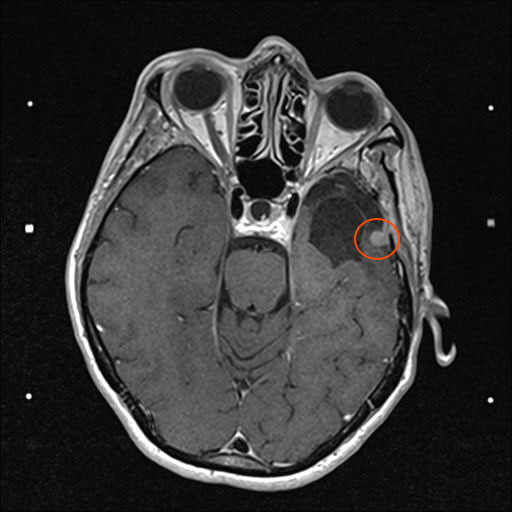
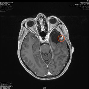
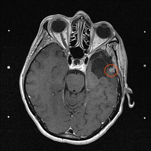
Am 03. November war mein Kontrollbesuch beim MRT. Leider ist ein kleiner Befund aufgetaucht. Schau das Video, dann kannst Du sehen.

Nun kann sich zeigen, ob die menschliche Medizin eine Lösung für mich hat. Möglichkeiten gibt es. Sogar mindestens eine, die der Neurochirurg als fein und elegant beschreibt. Gamma-Knife, eine Strahlentherapie. Klingt etwas nach Star Wars – man wird sehen,  etwas abwarten ist auch drin.

Vor Schreck habe ich mein Laufen etwas abgebrochen. Zu dunkel nachts um 4:00 Uhr im Winter und auch zu kalt und manchmal zu nass. Nun behelfe ich mit Indoor-Sport zuhause und turne ca. 500 Sonnengrüße am Morgen - kein Witz dauert ca 2,5 Stunden. Dann spüre ich mich, bin zufrieden und bekomme ein lecker Müsli und Äpfel zum Frühstück. Und Indoor ist ja in diesen Corona-Zeiten von der Regierung gewünscht. Mir ist recht, ich gehe raus, wenn es notwenig ist (z.B. zum Äpfel kaufen). Ansonsten erledigt Stephan (fast) alles, der braucht ja auch mal Auslauf....

Naja und nun gibt es ja Gründe mir und der Welt zu zeigen, dass mein Hirn, der rationale Teil, auch noch funktioniert, das habe ich bisher mit dem Lösen von Sudokus gemacht (ohne Reinschreiben von Zwischenzahlen – klappt nahezu immer…) aber nun soll es etwas mehr sein und ich bastele wieder an Webseiten.

Dies ist mein Übungsprojekt. Noch nicht fertig (Stand ist vom 19.11.2020). Aber manches ist schon ganz ok geworden, Auf meinen Geräten (PC-Bildschirmen, iphone und ipad sieht es ganz brauchbar aus. Wie ist das bei Dir?)  

Liebe Grüße,
Margret

 

 

 

Januar 2021: Ein Kampf gegen Erbsen im Kopf mit modernen Mitteln

Also habe ich mich entschieden, dem Rezidiv nicht mehr länger beim Wachsen zuzusehen und habe Kontakt aufgenommen zur Strahlenmedizin in Hamburg, iCERA – Spezialisten für Radiochirurgie – „Präzisionsstrahlenbehandlung - geschnitten wird dabei nicht“. Das ging alles ziemlich schnell, im Dezember die Bilder auf CD nach Hamburg geschickt, ein Telefongespräch mit dem Professor, der zu einer Vorstellung bei ihm geraten hat, ein Vorgespräch im Januar und nun ist es am 26.01.2021 schon passiert – das Gammknife hat aus fast 200 Strahlenquellen für ca. 20 Minuten aus verschiedenen Richtungen auf den Tumor „geschossen“, so dass am Tumorpunkt die Strahlen zusammenfanden und so gemeinsam in diesen paar mm³ genug Energie entstand, um einen Schaden an den Zellen anzurichten ohne das gesamte Gehirn zu schädigen. Große Medizintechnik der Neuzeit. Meine Krankenkasse zahlt, was erstaunlicher Weise nicht für alle Kassen gilt.

Im Detail gibt es sicher noch Verbesserungspotenzial an der Prozedur. Um exakt strahlen zu können, darf der Kopf sich nicht bewegen und muss auch im MRT, in dem der Tumor „vermessen“ wird und in der Gamma-Knife-Röhre gleich liegen, sonst sticht das Messer daneben. Dazu hat man eine etwas "rustikale Apparatur", die am den Kopf montiert wird. Aber zum Glück braucht das Ding nicht fest gedübelt zu werden, sondern wird „nur“ mit vier Schrauben fixiert. Nicht ganz angenehm, aber wegen der örtlichen Betäubung (wie beim Zahnarzt) ganz gut erträglich. Ich habe das Teil schnell mal Krönchen genannt, aber man braucht schon sehr viel Fantasie um das nach zu vollziehen. Dann gab es noch einen Vermessungshelm auf dem Kopf. Und zuhause waren bis auf ein paar ganz kleine Hörner keine Spuren geblieben. Der Kopf arbeitet wie gewohnt.

Aber ich finde, dass es bis hier super gelaufen ist. Schnell einen Termin bekommen, wir sind super behandelt worden, die Menschen waren alle sehr professionell und sehr freundlich. Großen Dank nach Hamburg! Und dies in Zeiten von Corona. Da hat es in Deutschland auch schon schlimmere Zeiten gegeben, die meine Vorfahren erleben mussten. Damals wären sicher alle Mediziner zu Impfaufgaben herangezogen worden, um die wehrtüchtigen jungen Männer zu schützen. Gut, dass diese Gesellschaft es heute anders macht!

Nun muss man warten, dass der Körper auf richtige Weise auf die Behandlung reagiert und das Wachstum des Tumors gestoppt worden ist. Das wird man erst Ende April sehen, wenn ich zum nächsten MRT nach Hamburg fahren werde. Aber weiter gilt, mir geht es gut, nix tut weh und all meine kleinen Tests zur Funktion des Gehirns (schweres Sudoku, Einkaufen mit dem Rad und bei schlechtem Wetter (Nieselregen/Schnee auf der Brille) und diese Webseite fix erweitert) haben geklappt, mehr will ich nicht!

Margret
27.01.2021

April 2021:Leider keine Veränderungen

Am 29.4.2021 war ich zum Kontroll-MRT drei Monate nach der hochmodernen Strahlentherapie, dem Gamma-Knife. Leider ist das Ergebnis: den Tumor hat diese Behandlung nicht beeindruckt, keine Änderungen zu erkennen. Der Arzt schlägt eine weitere Kontrolle in 6 Monaten vor. Ich finde es etwas schwer, dieses Ergebnis einzuordnen. Aber so ist es nunmal. Vielleicht ist es ja normal, und wird erst später gut (siehe Punkt 4).

Nachdem ich gestern meine Webseite kaput gemacht hatte, ist mir heute früh beim Turnen die Lösung für das Problem eingefallen (geht doch!) und nun probiere ich mich wieder zum freundlichen Blick zu überreden.

Dann werde ich mal eine Weile mit Hirntumor leben, was ja auch nicht nur schlimm ist:

  • es tut nix weh und schränkt auch nicht so besonders schlimm ein,
  • wenn doch was schief geht, habe ich einen astreine Ausrede,
  • wenn man mal über die Begriffe krank und gesund sowie Symthom und Diagnose nachdenkt, kann man zu der Überzeugung kommen, das eine Diagnose ohne Symthom auch keine Krankheit ist, so beschließe ich es mal zu sehen.
  • und ändern kann ich sowieso zur Zeit nichts

Dann bin ich mal in den Garten gegangen und habe beim Selfi machen das Lächeln geübt. Ihr könnt auf dem Bild meine Frühjahrsblumen sehen, die Kaiserkrone, die ich mir im Herbst geleistet habe und die Vergissmeinnicht, deren Samen aus dem Garten meiner Mutter stammt. Und das Dach des Hauses ist frisch gedeckt, aber das Fenster hat noch Coronabedingte Lieferprobleme (und mein Homeoffice ist zur Zeit eine Dunkelkammmer). Während im Garten die Pflanzen schon Photosynthese betreiben und damit das Frühlingslicht der Sonne in Energie wandeln und CO2 binden, lassen die Solarmodule auf dem Dach noch auf sich warten - damit geht es weiter, wenn die Dachfenster eingebaut sind.

Dann verbringe mal den Sommer mit der Pflege von Haus und Hof und dann mag es an der Zeit sein, sich wieder mit dem Menigeom zu beschäftigen.

Margret, 30.04.2021

 

November 2021 :Der Herbst ist da

November 2021
Der Herbst ist da

Viele Monate sind vergangen, ein ruhiger Sommer ist vorbei. Schade.

Ich fühle mich gesund und fit und so ein Tumor im Hirn tut nicht weh. Am 2. November ist wieder ein MRT dran und es wird sich zeigen, wie sich der Tumor entwickelt hat. Gestört hat er in den letzten Monaten nicht  - jedenfalls nicht für mich erkennbar. Trotzdem ist es immer etwas aufregend, wenn der Blick ins Gehirn ansteht und etwas zu Tage kommen könnte, das ungewisse Konsequenzen haben könnte.

Meine kleinen Sommer-Projekte sind erfolgreich erledigt:

  • Das Dach meines Hause ist erneuert worden, es hatte keinen Schaden aber schlechte Isolierung. Und so hat es jetzt eine dicke Dämmerung bekommen.
  • Und weil es in diesen Zeiten sinnvoll ist, wurde das Projekt mit einer Photovoltaikanlage ergänzt. Die machte in den hellen Monaten sehr schön Strom, den wir genutzt und ins Netz eingespeist haben.
  • Mein Dachzimmer ist frisch renoviert, so habe ich mich als kleine Elektrikerin versuchen können, nun ist alles auf LED umgestellt, allerlei Steckdosen sind neu installiert und weil die Gelegenheit gut war, habe ich auch im ganzen Haus schnelle Internet-LAN-Verkabelung eingebaut und jetzt überall CAT-Dosen, wie im Büro. Wird nicht wirklich gebraucht, aber vielleicht in der Zukunft.
  • Im Garten sind Tomaten und andere Gemüse gewachsen und manchmal habe ich mich an den Büschen und Bäumen der Nachbarn vergriffen (nach Rücksprache), wenn diese mir zu groß wurden.

Liebe Grüße Margret, 01.11.2021

12. November 2021: Innerhalb der Messungenauigkeit

Heute war ich mit Stephan in der Ambulanz der Neurochirurgie zur Auswertung des MRTs, dass vor 10 Tagen erstellt wurde. Das Ergebnis ist erfreulich:

  • der Tumor ist sehr klein (< 10mm) und deshalb stört er  nicht
  • der Tumor ist, wenn überhaupt, sehr wenig gewachsen und so genau misst das Gerät nun auch nicht (vielleicht habe ich nicht still gelegen?!)
  • durch die Gamma-Knife-Bestrahlung kann man das Wachstum des Tumors beschränken, die Strahlen entfernen ihn nicht
  • falls doch mal Wachstum auftreten sollte, sitzt das Ding an einer guten Stelle und aus Sicht des Neurochirugen ist es "im Notfall" nur eine kleine Sache ihn zu entfernen

Also alles prima, alle Aufregung unnötig. Ich lebe nun halt mit einem Tumor im Kopf weiter und lassen ihn in 6 Monaten neu inspizieren. Ich bin erleichtert, es geht mir prima und auch die Schulternschmerzen haben sich verzogen. Gestern konnte ich auch schon wieder 15km langsam joggen.

Margret (12.11.2021)

 

2. November 2021: Leider etwas gewachsen

Heute war ich im MRT im Bremen. Der Befund des auswertenden Arztes ist, dass er der Meinung ist, dass der Tumor etwas gewachsen ist. Ich habe mir die Bilder angesehen und versucht diese Aussage zu verstehen. Vermutlich ist sie richtig, aber das Wachstum ist nicht heftig nur vielleicht von 0,7 cm auf 0,8 cm. Aber Gamma-Knife hat es offensichtlich nicht entfernt.

In der nächsten Woche gehe ich mit denm Bildmaterial zum Neurochirurgen und der wird bei der Auswertung und der daraus folgenden notwendigen Konsequenzen sicher einen Rat haben. Solange muss ich mal abwarten.

Blöd, am Wochenende habe ich mir einen Schmerz in der Schulter zugezogen, der macht das Leben schon etwas ungemütlich. Aber der Tumor hat keine Schuld.

Viele Grüße,
Margret, 2.November 2021

Mai 2022: Schöner Start in den Frühling mit kleinem Fehler

Der Frühling startet in diesem Jahr mit wunderbaren Wetter im Bremen. Ich kann sehr viel an der frischen Luft sein und meine Runden zufuß und mit dem Rad drehen. Meine App behauptet, dass ich in diesem Jahr bereits mehr als 2000 km hinter mich gebracht, ganz ohne Auto. Das spart reichlich Benzin! Und hält mich schön fit!

Zu meinem Geburtstag am 27.4. habe ich sehr schöne Geschenke bekommen und kann mich auch über meinen bunten Garten freuen, im Herbst gab es ein Tulpen-Sonderangebot, dem konnte ich nicht wiederstehen! Und nun ist das Ergebnis zu sehen. Am 28. April war wieder mal MRT-Termin. Leider hat es an dem Tag eine Vertretung des auswertenden Arztes gegeben, die Ärztin war super freundlich aber hat keine ganz konkreten Aussagen machen können, aber sie hat mir 2 CDs gebrannt, ich konnte eine gleich bei den Neurochirurgischen Ambulanz abgeben und eine mit nach Hause nehmen. Mein Blick auf die Bilder hat eine nazu unveränderte Lage gezeigt.

Heute war der Termin beim Chirurgen, leider schon um 9:00 Uhr und natürlich wollte ich die knapp 20 km mit dem Rad zurück legen, Stephan wollte gerne mitkommen. Leider war die bereits abgegebenen CD nicht eingelesen worden und so musste erstmal die Datenverarbeitung arbeiten und wir warten, bis wir eine Auskunft bekommen konnten. Fazit: Der bestehende Tumor ist kaum gewachsen. Aber es hat sich leider ein 2. Fund ergeben, sehr klein aber deutlich sichtbar. Aber Maßnahmen sind erstmal nicht notwendig.

Dann habe ich die großen Blumenkübel aus dem Keller geholt und beschlossen, dass der Garten und die Arbeit darin viele angenehmer ist, als über Tumore im Hirn nachzudenken.

Nun ist der Trubel rund um meinem Geburtstag vorbei und die Zeit wird wieder ruhiger.

Viele Grüße,

Margret, 6. Mai 2022

Feb. 2023: Der Winter ist überstanden und der Sommer 2022 war super!

Feb. 2023
Der Winter ist überstanden und der Sommer 2022 war super!

Nun ist der große Tumor schon sechs Jahre nicht mehr im Kopf.  Dafür ein paar kleine Rezidive, unter regelmäßiger Kontrolle/ Beobachtung.

Der Winter ist überstanden, die Tage werden länger - gegen das schlechte Wetter gab es prima Weihnachtsgeschenke (Radausrüstung...).

Der letzte Sommer war prima:

  • 8000 km mit dem Rad gefahren
  • gute Ernte mit der PV-Anlage
  • auch mit den Tomaten im Garten reichlich Erfolge

Da brauche ich mich nicht beschweren.

mehr lesen ...

Grüße aus dem Zweiten Leben