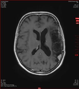
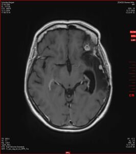
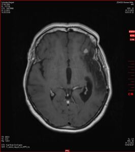
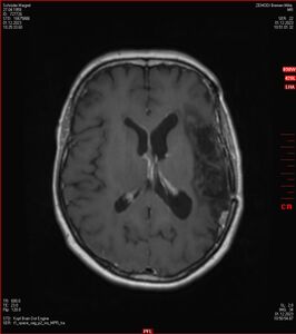
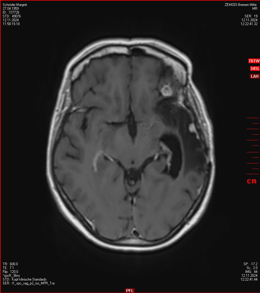
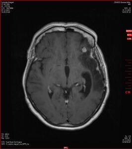
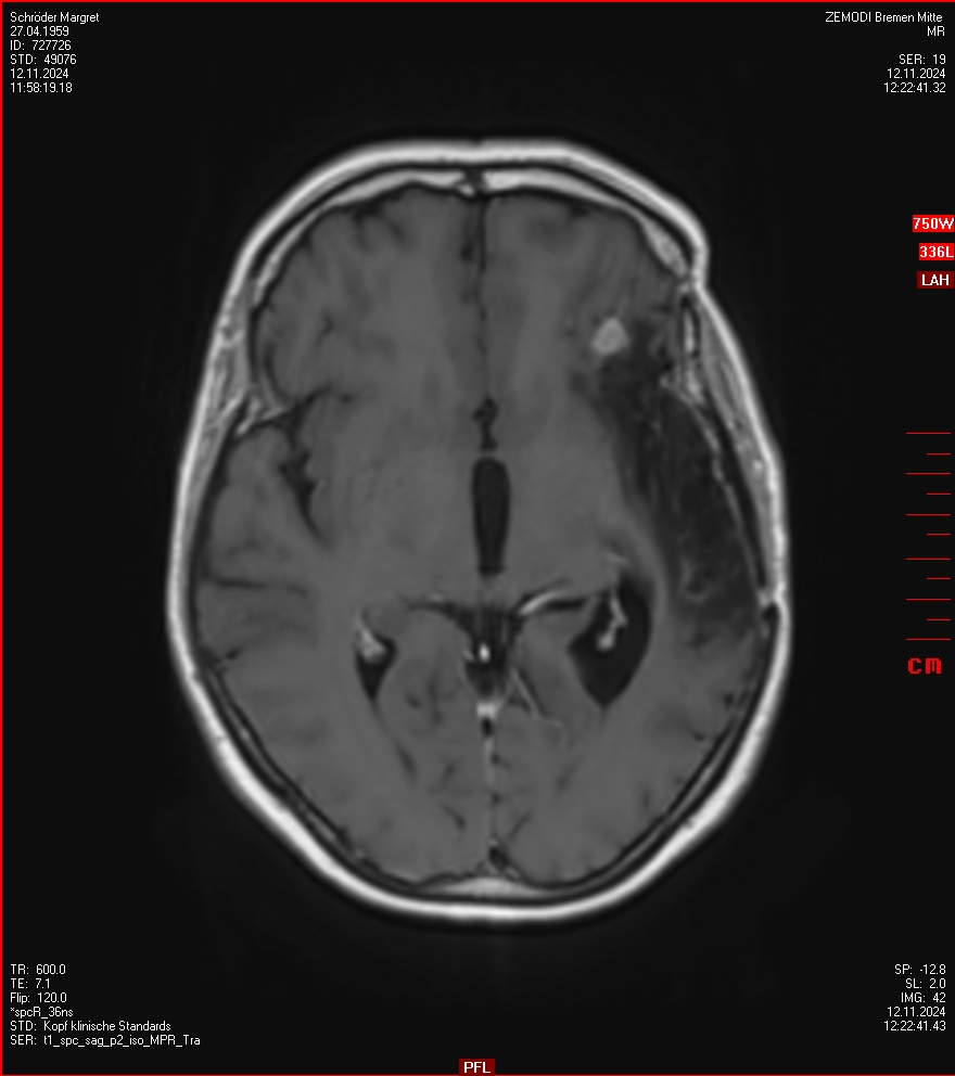
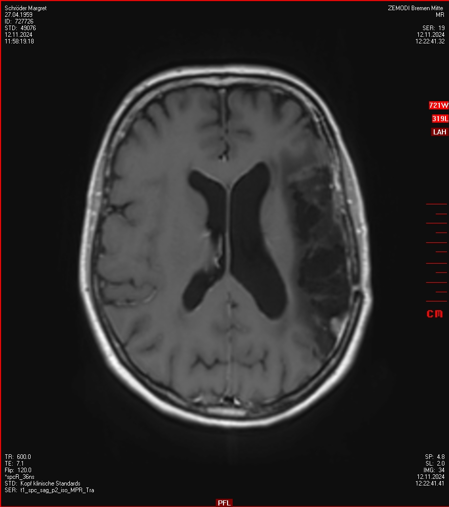
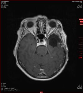
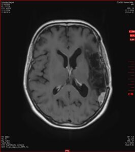
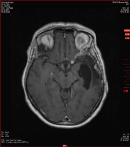
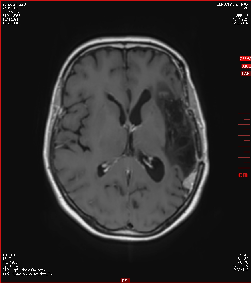
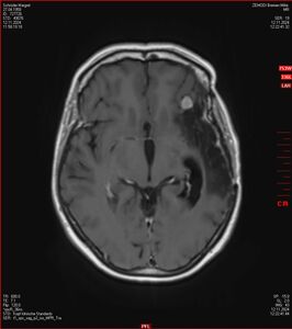
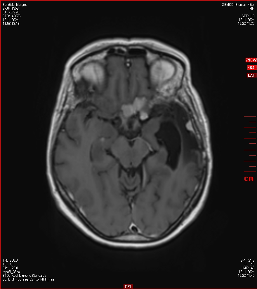
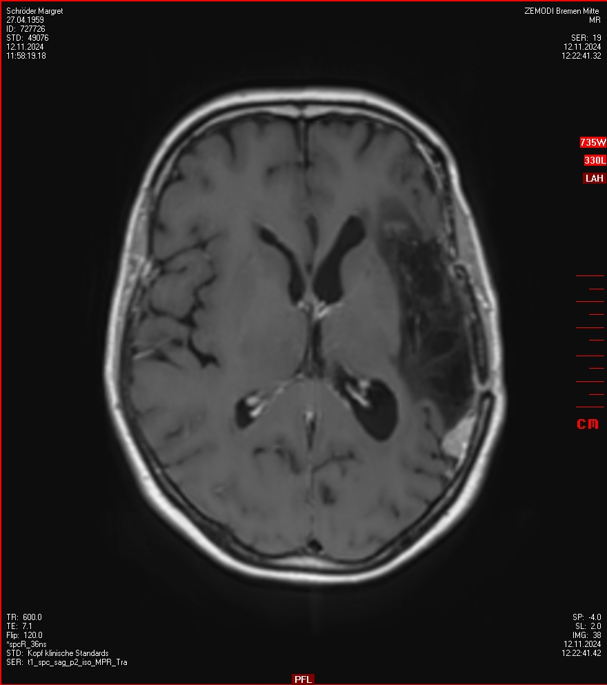
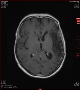
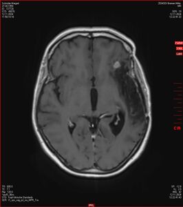
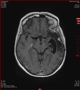
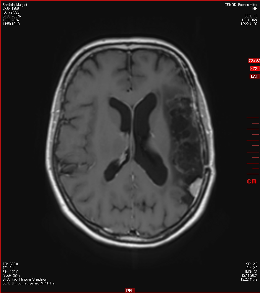
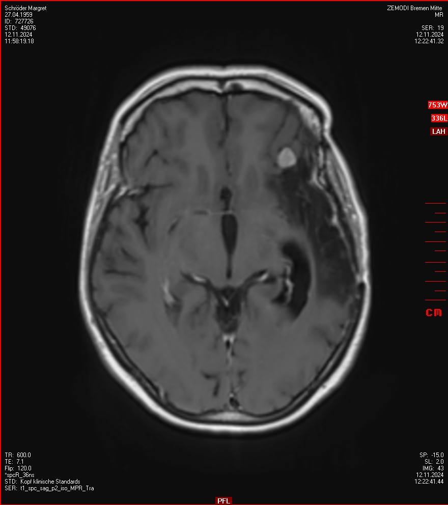
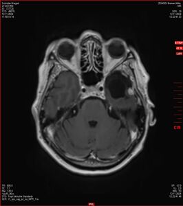
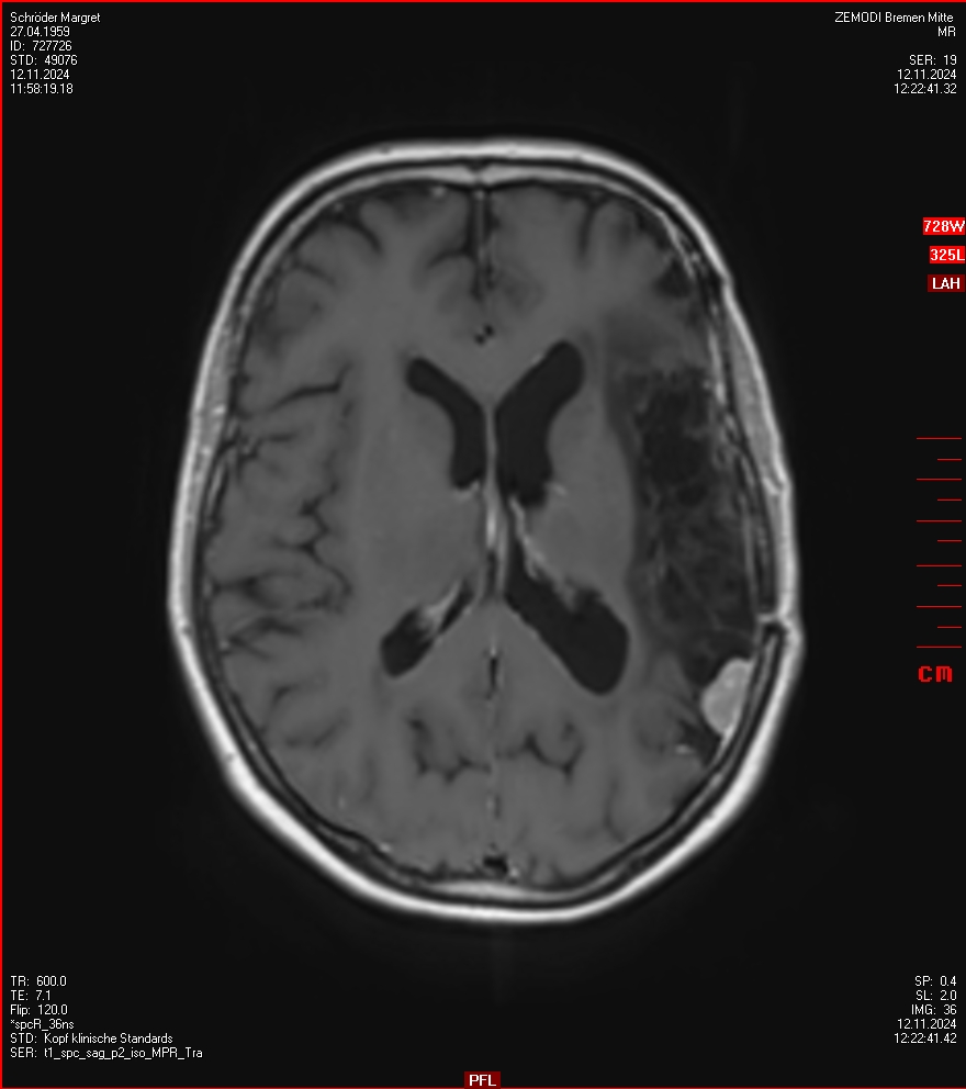
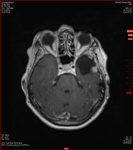
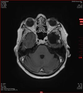
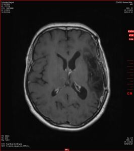
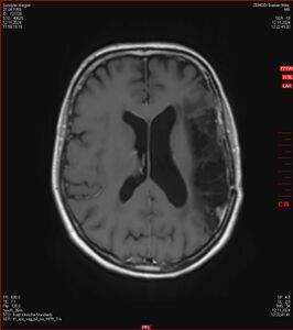
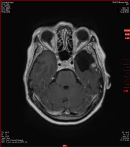
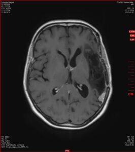
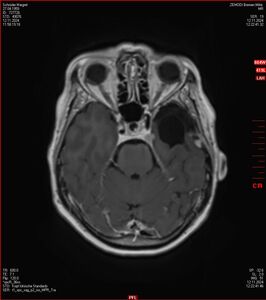
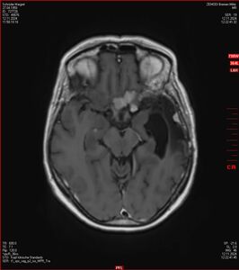
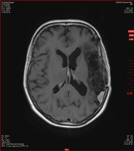
MRT vom 12. November 2024

So nun ein paar neue Bilder aus meinem Kopf. (Durch klicken bekommt man eine größe Ansicht eines Einzelbildes).

Die letzten drei Bilder Zeigen aus meiner Sicht den Tumor, der im Jahr 2021 bestrahlt wurde.

 

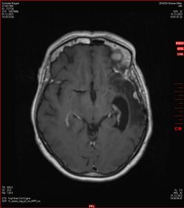
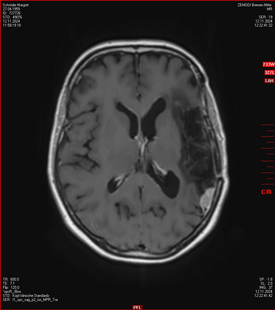
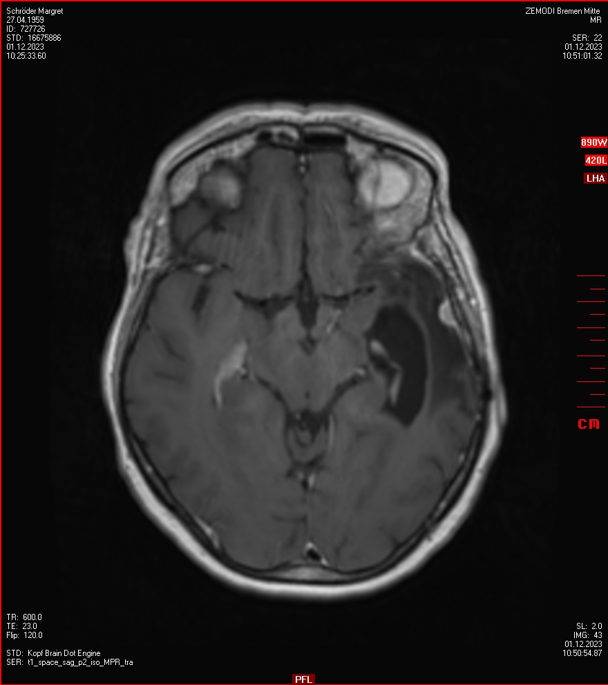
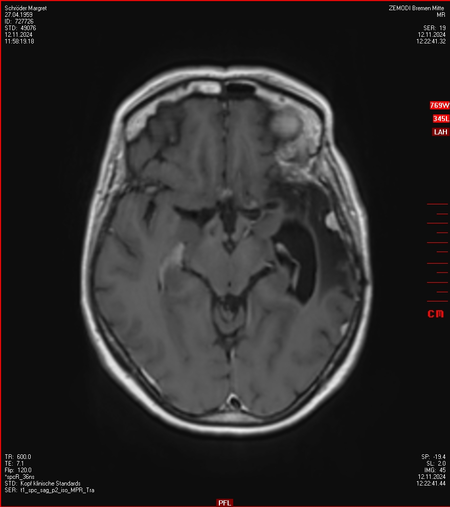
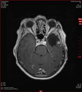
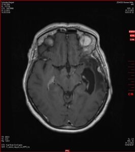
Zum Vergleich nun auch die Bilder vom 1.12.2023:

Ich denke, in den letzen 12 Monaten sind da ein paar Rezidive gewachsen,  vor 12 Monaten waren sie auch schon zu erkennen - vorher noch nicht. Nun hoffe ich auf den Rat des Spezialisten. Hoffendlich kann man etwas machen.